In Cat Timp Se Vindeca Pneumonia Interstitiala





Pneumonie Ce Este Cum O Tratam Si Cat Timp Dureaza Vitasana

Pneumonie Ce Este Cum O Tratam Si Cat Timp Dureaza Vitasana

Cum Tratăm Corect Pneumonia

Cum Tratăm Corect Pneumonia

Pneumonie Interstitiala Divahair Ro

Pneumonie Interstitiala Divahair Ro

Pneumonie Clasificare Cauze Simptome Analize Si Tratamente

Pneumonie Clasificare Cauze Simptome Analize Si Tratamente

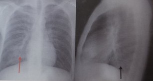
Pneumonia Interstițială Sau Atipică Pe Radiografia Toracică Proceduri Medicale

Pneumonia Interstițială Sau Atipică Pe Radiografia Toracică Proceduri Medicale

Pneumonie Interstiţială La Copii Simptome Cauze Tratament

Pneumonie Interstiţială La Copii Simptome Cauze Tratament

Pneumonie Interstiţială La Copii Simptome Cauze Tratament

Pneumonia Interstiţială Acută Etiologie Simptome Metode Diagnostice Si Tratament Behealthy

Pneumonia Interstiţială Acută Etiologie Simptome Metode Diagnostice Si Tratament Behealthy

Cum Tratăm Corect Pneumonia

Cum Tratăm Corect Pneumonia

Pneumonie Wikipedia

Pneumonie Wikipedia

Pneumonie Interstitiala Cauze Simptome Tratament Tipuri

Pneumonie Interstitiala Cauze Simptome Tratament Tipuri

Pneumonia O Afectiune Contagioasa Farmacia Ta Farmacia Ta

Pneumonia O Afectiune Contagioasa Farmacia Ta Farmacia Ta

Pneumonia Interstitiala La Copil

Pneumonia Interstitiala La Copil

Pneumonia O Afectiune Contagioasa Farmacia Ta Farmacia Ta

Pneumonia O Afectiune Contagioasa Farmacia Ta Farmacia Ta

Pneumonia Interstiţială Acută Etiologie Simptome Metode Diagnostice Si Tratament Behealthy

Pneumonia Interstiţială Acută Etiologie Simptome Metode Diagnostice Si Tratament Behealthy

Pneumonie Simptome Cauze Tratament Newsmed Ro

Pneumonie Simptome Cauze Tratament Newsmed Ro

C3 Radio 2014

C3 Radio 2014

Pneumonie Interstitiala Tot Ce Trebuie Sa Stii De La Cauze Si Simptome La Diagnostic Si Tratament Glosar Medical Medlife

Pneumonie Interstitiala Tot Ce Trebuie Sa Stii De La Cauze Si Simptome La Diagnostic Si Tratament Glosar Medical Medlife

C3 Radio 2014

C3 Radio 2014

Pneumonia Bacteriana La Copii Se Poate Complica Cu Pleurezie Cand In Cavitatea Pleurala Se Acumuleaza Lichid In Exces Reginamaria Ro

Pneumonia Bacteriana La Copii Se Poate Complica Cu Pleurezie Cand In Cavitatea Pleurala Se Acumuleaza Lichid In Exces Reginamaria Ro

Simptome Coronavirus Infectia Cu Noul Covid 19 Transmitere Si Tratament Reginamaria Ro

Simptome Coronavirus Infectia Cu Noul Covid 19 Transmitere Si Tratament Reginamaria Ro

Source : pinterest.com